- Get link
- X
- Other Apps
6 Hemorrhagic stroke combining pICH and subarachnoid hemorrhages is estimated to account for approximately half of pediatric stroke cases. Transient ischemic attack ischemic stroke and hemorrhagic stroke.
Stroke Non Hemoragik Jenis Stroke Yang Paling Sering Terjadi Alodokter
Penyebab Stroke Non Hemoragik.

Non hemorrhagic stroke. In Indonesia 8 of 1000 people suffered a stroke. Stroke is divided into two non-hemorrhagic. The Ebola Virus Essay 1307 Words 6 Pages.
After the exercise of gripping rubber ball motoric power of non hemorrhagic stroke patients from 16 respondents who had hemiparesis of the upper limb of 13 were categorized quite well with the percentage of 8125. Whatever the type stroke is a medical emergency that needs immediate treatment. Diperkirakan sekitar lebih dari 80 kasus stroke di seluruh dunia disebabkan oleh stroke non-hemoragik.
Value OR 191 with 95 CI 134-273. Stroke composed 90000 deaths of women and 60000 men each year. A hemorrhagic stroke happens when an artery in the brain leaks blood or ruptures breaks open.
Stroke non-hemoragik adalah jenis stroke yang terjadi akibat penyumbatan pada pembuluh darah otak. About 87 of all strokes are ischemic. Although ICH has traditionally lagged behind ischemic stroke and aneurysmal subarach-noid hemorrhage in terms of evidence from clinical trials to guide management the past decade has seen a dramatic.
There is a relationship between diabetes mellitus and the incidence of non-hemorrhagic stroke. These are strokes caused by blockage of an artery or in rare instances a vein. Hemorrhagic stroke where bleeding occurs in the brain.
5222020 What is Non-Hemorrhagic Stroke. STROKE GUIDELINES FOR TREATMENT Stroke Society of the Philippines Handbook 6 th ed OBJECTIVE To present the guidelines for treatment of Acute Stroke and Transient Ischemic Attack TIA To discuss briefly the guidelines for Antiplatelet Therapy in Noncardioembolic Stroke or Transient Ischemic Attack TIA Outline Stroke Scales Glasgow. High blood pressure and aneurysmsballoon-like bulges in an artery that can stretch and burstare examples of conditions that can cause a hemorrhagic stroke.
12132016 There are three main types of stroke. The leaked blood puts too much pressure on brain cells which damages them. Non-hemorrhagic stroke sufferers can cause ineffective cerebral tissue perfusion which if left untreated will increase intracranial pressure and cause death.
Stroke stroke ischemic and stroke hemorrhagic with its code I64 I63- and I619 were 672. About 13 of all strokes are hemorrhagic. Its estimated that 87 percent of strokes are.
Afterwards population of stroke non hemorrhagic only was chosen in July to December period. 5112020 Stroke non hemoragik adalah jenis stroke yang paling umum terjadi jumlah kasusnya adalah 87 dari keseluruhan kasus stroke. 3292018 There are several different types of stroke including ischemic stroke where blood supply is cut off from the brain.
The burden of childhood stroke has increased since the early 1990s by the hypothesized combined effects of increasing world population better recognition of pediatric stroke and decreased mortality rates. These are strokes caused by bleeding. Ebola-Zaire Ebola-Sudan Ebola-Ivory Coast cause disease in humans.
Dapat dibagi menjadi stroke pembuluh darah besar termasuk sistem arteri karotis merupakan 70 kasus stroke non hemoragik trombus dan stroke pembuluh darah kecil termasuk sirkulus Willisi dan sirkulus posterior. The purpose of this study was able to carry out nursing care for non-hemorrhagic stroke clients with the problem of the ineffectiveness of cerebral. Strokes can be classified into 2 main categories.
People who experience this type of stroke in addition to other stroke symptoms will likely experience a sudden onset headache or head pain a warning sign that might not occur during ischemic stroke. PATHOPHYSIOLOGY STROKE NON-HEMORRHAGIC ET CAUSA THROMBUS ABSTRACT Stroke is one of the most common cause of death worldwide and the third leading cause of death in the United States. Types of stroke namely hemorrhagic stroke and non-hemorrhagic stroke or what is known as ischemic stroke.
July to September without clinical pathway and October to December with clinical pathway. Ebola-Reston cause disease in non-human primates only Means of Transmission Person-to-person transmission Direct contact of blood secretions semen vomit diarrhea 1 or. Incidence of non-hemorrhagic stroke in young adults.
Data distribution of age The average of stroke non hemorrhagic. Secara umum penyebab stroke non hemoragik adalah kondisi tersumbatnya pembuluh darah di otak akibat adanya gumpalan darah atau bekuan darah. 5302018 A hemorrhagic stroke happens when a weak blood vessel bursts and bleeds into the brain.
Darah berfungsi mengalirkan oksigen ke otak tanpa oksigen yang dibawa oleh darah maka sel-sel otak akan mati dengan sangat cepat mengakibatkan munculnya defisit neurologis secara tiba-tiba. Pontaneous nontraumatic intracerebral hemorrhage ICH remains a significant cause of morbidity and mor - tality throughout the world. Disease name Ebola hemorrhagic fever Ebola HF Four identified subtypes of Ebola.
Stroke yang juga disebut stroke infark atau stroke iskemik ini merupakan jenis stroke yang paling sering terjadi. The results showed that there was a significant relationship between hypertension and the incidence of non-hemorrhagic stroke. Stroke Non Hemoragik Trombus Terjadi karena adanya penggumpalan pembuluh darah ke otak.
Stroke non hemoragik adalah terhentinya aliran darah ke bagian otak akibat tersumbatnya pembuluh darah. Wilcoxon test results is known thatsignificance p 0001.
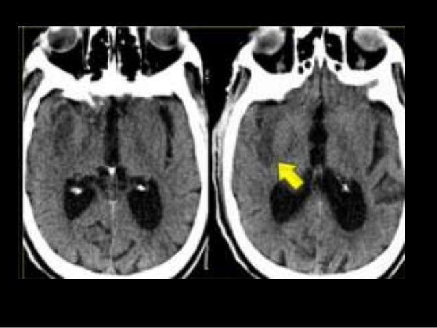
Non Hemorrhagic Ischemic Stroke Imaging
A Ischemic Stroke Shown As Dark Black Area B Hemorrhagic Download Scientific Diagram
Nursing Care Non Hemorrhagic Stroke And Hemorrhagic
Non Hemorrhagic Ischemic Stroke Imaging
Penanganan Terkini Stroke Rumah Sakit Emc
Penyebab Stroke Dan Penanganan Yang Tepat Health Liputan6 Com
Hemorrhagic Vs Ischemic Stroke Prognosis Tpostrel
Types Of Stroke American Stroke Association
Hemorrhagic Stroke On Ct Page 1 Line 17qq Com
Non Hemorrhagic Ischemic Stroke Imaging
Stroke Non Hemoragik Adalah Tanda Penyebab Gejala Cara Mengobati Honestdocs
Figure 1 From Computed Tomographic Findings In Non Traumatic Hemorrhagic Stroke Semantic Scholar

Comments
Post a Comment