- Get link
- X
- Other Apps
The effects of tobacco smoke on the immune system include. Tobacco smoke contains more than 7000 chemicals at least 70 of which are known to cause cancer.
Greater susceptibility to infections such as pneumonia and influenza more severe and longer-lasting illnesses lower levels of protective antioxidants such as vitamin C in the blood.

What are the effects of tobacco. Children who are exposed to secondhand smoke are at increased risk for sudden infant death syndrome acute respiratory infections middle ear disease more severe asthma respiratory symptoms and slowed lung growth. Feeling sick or dizzy. Smelly clothes and hair.
It can also cause the respiratory problem and heart disease to non-smokers. Within 10 seconds of your first puff the toxic chemicals in tobacco smoke reach your brain heart and other organs. Tobacco is considered as a major behavioral risk factor for non-communicable diseases one of the leading causes of death.
Contrary to popular belief smoking doesnt only harm the lungs of a smoker and cancer isnt the only threat to a smokers health. Its leaves are smoked chewed or sniffed for a variety of effects. Inhaling tobacco smoke can cause damage to most of the bodys organs and systems.
Tobacco use increases the risk for many types of cancer such as Lung cancer. Smoking harms almost every part of your body and increases your risk of many diseases. Furthermore it also can give the effect to the pregnant women which in causes the pregnancy complications when the mother inhaled the smoke from smokers.
Although public health advocates for example Roemer 1993 claim that tobacco advertising. Treatment of cardiovascular diseases and cancer imposes maximum financial burden on the individual and family. Tobacco contains the chemical nicotine which is an addictive substance.
Although nicotine itself does not cause cancer at least 69 chemicals in tobacco smoke are carcinogenic 1 and cigarette smoking accounts for at least 30 percent of all cancer deaths. 22 The overall rates of death from cancer are twice as high among smokers as nonsmokers with heavy smokers having a four times greater risk of death from cancer than nonsmokers. Consequences of tobacco use Various effects of tobacco use are as follows.
Does increase smoking there is a significant empirical literature that finds little or no effect of tobacco advertising on smoking for example Hoek 1999. Tobacco advertising is a public health issue if it increases smoking. 2262020 Tobacco and Immunity Although carcinogens within tobacco and cigarettes are to blame for the increased risk of cancer numerous other compounds act as pro-inflammatory and immunosuppressive agents.
Amplified positive effects are seen when these policies. Tobacco that is not burned is called smokeless tobacco. 1282015 The Effects of Smoking jehsomwangShutterstock.
5302017 Substances in tobacco smoke actually change the structure of your skin. A recent study has shown that smoking dramatically increases. In addition on the point is smoking causes disease and is a slow way to die because the effect of smoking on human body.
Smoking also affects how you look and feel your finances and the people close to you. Here we show that comprehensive tobacco control policies-including smoking bans health warnings advertising bans and tobacco taxes-are effective in reducing smoking prevalence. As we know from smoking it can.
Ask children to make notes using their own words based on their research about the short and long term effects of smoking on the body. 7222020 What are the effects of smoking and tobacco. 2262021 Tobacco is a plant.
10 Effects Of Smoking Cigarettes
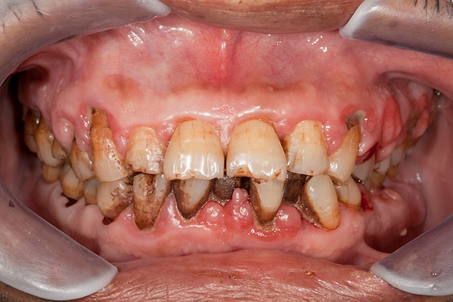
The Effects Of Smoking Tobacco And Endodontic Disease Dentistry Co Uk
What To Know About Cigar Smoking
Health Effects Of Secondhand Smoke Cdc
26 Health Effects Of Smoking On Your Body
Chart The Effects Of Quitting Smoking Statista
Smokeless Tobacco Health Effects Cdc
Negative Effects Of Smoking From Head To Toe
Smoking And Physical Health Healthy Unh
10 Health Effects Caused By Smoking You Didn T Know About State Of Tobacco Control American Lung Association
Health Impacts Of Tobacco Use Smoking Control And Cessation Health Seniors And Active Living Province Of Manitoba
Health Effects Of Tobacco Wikipedia



Comments
Post a Comment